透射电镜

甲苯胺蓝染色(TEM)

服务介绍:

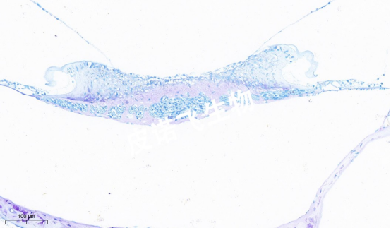
多用于神经组织横切半薄切片甲苯胺蓝染色,可在光学显微镜下观察神经髓鞘的病变情况及髓鞘的厚度;也可用于植物叶片、花药等,观察细胞排列情况等。


货号

名称

规格

价格

PA1097-1

甲苯胺蓝染色(TEM)

20

 

实验结果展示:

1、耳蜗

 image.png

2、植物茎:

 image.png


实验流程:

甲苯胺蓝染色-分化-烤干封片


送样运输要求:

半薄切片,常温运输