业务热线:
您现在的位置:首页 > 实验资料 > 实验图库 > 免疫组化
F4-80_肺
Clau Din肠
CD163 肠
Sox9 肿瘤
Runx2 骨
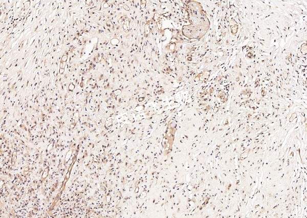
PD-L1 肿瘤
Ki67 肝
Insulin 胰
IL 皮肤
Iba 海马
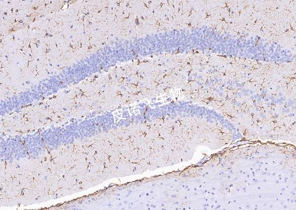
GFAP 海马
Collagen 皮肤