公司新闻
公司新闻

公司新闻

当前位置:首页 > 新闻资讯 > 公司新闻

皮诺飞生物标准化实验动物助力塔里木大学抗菌纳米凝胶研究登顶[GELS]

[中国武汉,2025.5.22近日,塔里木大学在顶级学术期刊《GELS》(影响分子5/二区)发表关于氟苯尼考纳米凝胶治疗细菌感染性伤口的重要研究成果。该研究成功验证了新型纳米凝胶的强效抗菌与促愈合能力,为对抗耐药菌感染提供了创新解决方案。值得关注的是,武汉皮诺飞生物技术有限公司凭借其高品质实验动物供应与专业技术支持,成为此项突破性研究的坚实后盾。

摘要:

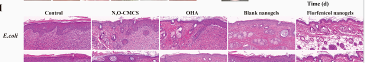
糖尿病伤口中的高血糖微环境容易引发细菌感染,持续慢性炎症,并影响治疗效果。本研究通过NO-羧甲基壳聚糖(NO-CMCS)和氧化透明质酸(OHA),制备了基于 Schiff碱键的抗生素负载快速交联杂化纳米凝胶伤口敷料(氟苯尼考纳米凝胶)。成功制 备的氟苯尼考NO-CMCS/OHA纳米凝胶表现出显著的pH-HA酶响应性释放特性,这使得它 能够在感染伤口处迅速释放氟苯尼考,实现按需抗菌效果,并加速糖尿病细菌感染伤口的愈合。纳米凝胶敷料通过破坏细菌细胞膜和壁,展现出卓越的抗菌效果。具体而言,资料中的葡萄糖氧化酶能够催化高浓度葡萄糖的分解,产生大量活性氧(ROS),直接导致细胞 损伤。根据伤口愈合的结果,这些敷料对全层小鼠皮肤缺损伤口表现出良好的抗炎和治疗 效果。纳米凝胶敷料有望成为优秀的伤口敷料,协同克服糖尿病细菌伤口的治疗难题。 

关键词:纳米凝胶敷料;pH/透明质酸酶双重响应性;葡萄糖氧化酶;糖尿病细菌伤口;协同治疗。


研究突破:纳米凝胶点亮感染伤口愈合新希望


本研究构建了小鼠金黄色葡萄球菌感染伤口模型,系统评价了氟苯尼考纳米凝胶的治疗效果。结果表明,该纳米凝胶能显著加速感染伤口愈合,抑制细菌增殖,效果优于传统剂型及对照组。这一发现为开发高效、安全的局部抗菌药物提供了重要实验依据,具有显著的临床应用潜力。


可靠动物模型筑基科研创新


研究的成功离不开严谨的实验基础。武汉皮诺飞生物技术有限公司为该研究精准提供了606-8周龄、体重18-20克的健康雄性昆明小鼠。这些符合严格标准的实验动物,是建立稳定、可重复的细菌感染伤口模型的关键前提。 

论文致谢部分特别提到:“作者们感谢武汉诺飞生物有限公司的相关实验人员在动物实验分析中给予的帮助”。这印证了皮诺飞生物不仅提供优质动物资源,其专业团队在动物模型构建、实验操作或数据分析环节亦提供了有力支持,保障了研究的高效推进与数据可靠性。


专注赋能生命科学研发


此次合作是皮诺飞生物核心能力的生动体现: 

1. 高品质实验动物供应: 提供多品系、标准化、健康状态明确的实验动物(如昆明小鼠、C57BL/6等),确保实验基础可靠。  

2. 专业动物实验技术服务: 在感染性疾病模型构建(如伤口感染模型)、药效学评价、外科手术模型等领域拥有成熟经验,可提供从方案设计到操作执行的一站式支持。  



图片来源:https://doi.org/10.3390/gels11060380

我们深感荣幸能为塔里木大学这项具有重要意义的抗菌研究提供支持。皮诺飞始终致力于成为科研工作者值得信赖的伙伴,以高标准的产品和专业的服务,为生命科学创新突破保驾护航。我们期待未来与更多科研团队合作,共同推动生物医药研发进程。


关于皮诺飞生物




武汉皮诺飞生物技术有限公司(Wuhan PinoFly Biotechnology Co., Ltd.)是一家立足于武汉、服务全国的高新技术企业,专注于为生命科学基础研究、药物研发及转化医学领域提供全面、专业、高质量的一站式实验技术支撑服务。公司依托标准化的实验平台、经验丰富的技术团队和严格的质量管理体系,核心业务涵盖以下七大关键实验技术模块:

1.专业病理学实验服务:

提供组织样本标准化处理(石蜡包埋、冰冻切片)、常规染色(H&E)及特殊染色(如Masson, PAS, 油红O等)。

开展高精度免疫组织化学(IHC)与免疫荧光(IF)检测,实现目标蛋白的定位与半定量分析。

提供专业病理图像采集、数字化处理及定量分析服务,为疾病机制研究和药效评价提供形态学依据。

2.精准疾病动物模型构建与表型分析:

构建基因编辑动物模型(转基因、基因敲除/敲入小鼠、大鼠)及提供繁育管理服务。

建立多种诱导型疾病动物模型(涵盖肿瘤、代谢性疾病、神经退行性疾病、心血管疾病、炎症与免疫性疾病等),包括化学诱导、手术造模、饮食诱导等方法。

执行规范的动物模型表型分析(行为学评估、生理生化指标检测、活体影像学检查、组织病理学评价)。

3.标准化细胞功能实验平台:

提供原代细胞分离培养及细胞系传代保藏服务。

执行关键细胞功能学检测:细胞增殖/毒性(CCK-8, MTT等)、细胞凋亡/周期(流式细胞术)、细胞迁移/侵袭(Transwell, 划痕实验)、细胞转染与稳转株筛选。

4.分子生物学基础实验服务:

提供核心核酸操作:DNA/RNA提取纯化、PCR/qRT-PCR、基因克隆与载体构建。

开展基因表达分析(mRNA水平 - qRT-PCR)。

提供基础基因编辑技术支持(如sgRNA设计、效率验证等,与病毒包装协同)。

5.严谨理化性质检测与分析:

对生物样本(血清、组织匀浆、细胞上清、制剂等)进行常规生化指标检测(如肝肾功能酶谱、血脂、血糖等)。

利用色谱技术(HPLC, GC)进行成分定性与定量分析。

开展物理化学表征(粒径分布、Zeta电位、稳定性测试等),支持纳米药物及制剂研发。

6.深度蛋白质组学与翻译后修饰研究:

基于高通量质谱技术提供:

蛋白质定性鉴定与定量蛋白质组学分析(Label-free, TMT/iTRAQ, DIA)。

翻译后修饰(PTM) 位点鉴定与定量(磷酸化、糖基化、乙酰化等)。

提供差异蛋白生物信息学分析,挖掘关键靶点与通路机制。

7.高效病毒载体包装与纯化:

专业生产重组病毒载体:

慢病毒(LV):用于稳定基因过表达或shRNA介导的基因沉默。

腺相关病毒(AAV):适用于体内外高效、组织特异性基因递送。

腺病毒(AdV):实现高效瞬时表达。

服务涵盖:载体构建、病毒包装、纯化、滴度测定及功能验证,支持基因过表达、RNA干扰(shRNA/siRNA)、CRISPR基因编辑工具递送等应用。

核心价值与定位:

武汉皮诺飞生物技术有限公司的核心价值在于整合七大核心实验技术平台,为科研机构、高校、药企及CRO提供从分子机制解析到动物模型验证的全流程、高可信度实验数据解决方案。公司秉承专业、精准、高效、可靠的服务理念,通过标准化的操作流程、严格的质量控制和敏捷的项目响应,显著提升客户研发效率,赋能生命科学创新与生物医药转化。