业务热线:
15392937510
网站首页
产品中心
抗体
试剂
细胞
其他
实验服务
病理实验
动物实验
细胞实验
蛋白组学
分子生物
理化检测
代谢组学
病毒包装
实验图库
He染色
特殊染色
MicroCT
共聚焦
透射电镜
扫描电镜
负染
免疫组化
免疫荧光
Tunel
Western Blot
原位杂交
实验资料
实验报告
动物取材
实验送样单
保存运输方法
引物库
新闻资讯
公司新闻
行业资讯
实验技巧
实验问答
关于我们
公司简介
服务流程
荣誉资质
联系我们
在线留言
全国办事处
网站地图
招聘信息
您现在的位置:
首页
>
实验图库
>
Western Blot
He染色
特殊染色
MicroCT
共聚焦
透射电镜
扫描电镜
负染
免疫组化
免疫荧光
Tunel
Western Blot
原位杂交
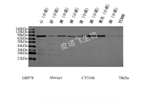
Western Blot
条带
条带
条带
条带
条带
条带
全膜
全膜
全膜
考马斯亮蓝染色
考马斯亮蓝染色
考马斯亮蓝染色
COIP
COIP
COIP
«
1
»